- 小さい頃から歯の黄ばみがコンプレックスで、人前で思いっきり笑えない……
- これまで歯の色で嫌な思いもしたし、もう白くするのは諦めている……
- でも、もしかしたら何か方法があるんじゃないかって、心のどこかで期待している……
この記事は、そんな「生まれつきの歯の黄ばみ」に長年悩んでこられたあなたのためのものです。
当院デンタルサロン・プレジールにも、同様のお悩みで多くの方がご相談にいらっしゃいます。実は、歯の黄ばみには様々な原因があり、その原因によって適切な対処法が異なります。
この記事では、歯の黄ばみの原因別に、具体的な対策や白くする方法について、多くの患者さんと向き合ってきた歯科医師が徹底解説します。諦めていたその悩み、解決への道筋がきっと見つかります。
この記事を書いた人

日本歯科大学新潟生命歯学部卒業。一般開業医での勤務、2020年よりデンタルサロン・プレジール歯科医院長就任。
従来の歯科の考え方にはなかった「健全な歯を削らずに」得られる審美歯科がここにあります。当クリニックを訪れてくださった方に、笑顔に自信を持っていただくことを一番に考え、対応させていただいております。
目次
テレビ番組で当院の施術ティーシーズが取り上げられました
あなたの歯はなぜ黄色い?考えられる7つの原因

まず、「歯が黄色く見える」原因について理解を深めましょう。「生まれつき歯が黄色い」と感じている方のお話を中心に進めますが、歯の黄ばみには、汚れの付着だけでなく、以下のように様々な要因が考えられます。
1. もともとの歯の色合い(象牙質の色)
歯の色は、表面のエナメル質の下にある「象牙質」の色が大きく影響します。エナメル質は半透明で、肌や髪の色のように個人差があり、象牙質の色も元々黄色味が強い方がいらっしゃいます。
また、「エナメル質形成不全」という先天的な病気により、エナメル質がうまく作られず黄色く見えることもあります。
2. 加齢による変化
象牙質の色は年齢とともに少しずつ濃くなる傾向があります。一方、表面のエナメル質は長年の使用で徐々に薄くなるため、内側の象牙質の色がより透けて見えやすくなり、結果として歯全体が黄色みを帯びてきます。
3. エナメル質の減少(磨きすぎなど)
研磨剤入りの歯磨き粉で力を入れてゴシゴシ磨く習慣は、エナメル質を過剰に削ってしまい、歯の黄ばみを早める可能性があります。歯磨きは軽い力で小刻みに。
また、間食が多い、だらだら食べをするといった習慣は、お口の中が酸性になる時間を長くし、エナメル質の修復(再石灰化)を妨げます。規則正しい食生活と丁寧な歯磨きが大切です。
4. 着色汚れ(ステイン)の付着
コーヒー、紅茶、赤ワイン、カレーといった色の濃い飲食物やタバコのヤニは、歯の表面にステインとして沈着し、黄ばみの原因となります。毎日の歯磨きである程度は防げますが、一度沈着すると除去が難しくなります。
5. 神経のない歯(失活歯)の変色
虫歯治療で神経を取った歯や、事故などで神経が死んでしまった歯は、時間とともに徐々に黒っぽく変色していきます。
6. 詰め物・被せ物の変色や影響
過去に治療した詰め物(レジンなど)や金属の被せ物が変色したり、金属イオンが歯茎や歯に影響して黒ずんで見えることがあります。
7. 薬剤による変色(テトラサイクリン歯など)
「生まれつき歯が黄色い」と感じている場合、特に注意したいのがこの「テトラサイクリン系抗生物質」による変色の可能性です。もし、これまでの原因にピンとこない方は、次の章で詳しく解説しますので、ぜひ読み進めてください。

歯が黄色くなる原因って、本当に色々あるんですね。自分で原因を特定するのは難しそうです

そうですね。だからこそ、まずは歯科医師に相談して正確な原因を知ることが、適切な対策への第一歩になりますよ
「生まれつき黄色い」の正体?テトラサイクリン歯の可能性
「生まれつき歯が黄色い」と思い込んでいる方の中には、実は幼少期のある経験が原因である「テトラサイクリン歯」のケースが少なくありません。
テトラサイクリン歯とは?
昭和40年代頃を中心に、マイコプラズマ肺炎や百日咳などに有効な薬として、あるいは風邪薬のシロップなどにも広く使われていた「テトラサイクリン系抗生物質」。この薬剤を、お母さんのお腹の中にいる胎児期、または歯が作られる時期(出生直後~8歳頃まで)に服用すると、その影響で歯が変色してしまうことがあります。
これがテトラサイクリン歯です。
変色のメカニズムと段階
体内に取り込まれたテトラサイクリンは、形成中の歯のカルシウムと結合し、象牙質(エナメル質の下の層)に沈着します。その後、太陽光(紫外線)に当たることで光化学反応を起こし、象牙質の色が徐々に黄色から褐色、さらに濃い色へと変化します。
変色の程度は、薬剤を投与された期間や量によって異なり、一般的に次の4段階に分類されます。
テトラサイクリン歯の変色分類(Feinmanらによる分類より)
| 分類 | 色調・特徴 |
|---|---|
| F1 | 淡い黄色、褐色、または灰色。歯全体が一様に薄く着色。縞模様は見られない。 |
| F2 | F1よりも色が濃い黄色、褐色、または灰色。歯全体が一様に着色。縞模様は明確ではない。 |
| F3 | 濃い灰色や青みがかった灰色。はっきりとした縞模様が見られる。 |
| F4 | 着色が非常に強く、縞模様も極めて明白である。 |
- 近年では、縞模様の有無よりも主に色調の濃さで判断する傾向もあります。
個人差はありますが、一般的にF2段階までであれば、歯科医院で行うホワイトニングである程度の白さを得られる可能性が高いと言われています。しかし、F3段階以上の濃い変色や縞模様がある場合は、ホワイトニングだけでは満足のいく効果を得るのが難しく、他の治療法を検討することが多くなります。
もちろん、「生まれつき黄色い」と感じる歯がすべてテトラサイクリン歯というわけではありません。歯の最も外側にあるエナメル質が元々薄い方、象牙質の色が濃い方、エナメル質の透明度が高い方なども、象牙質の色が透けて見えやすいため、歯が黄色っぽく見えることがあります。
テトラサイクリン歯について、さらに詳しい情報はこちらの記事をご覧ください。

自分がテトラサイクリン歯かどうか、またどの段階なのかは、専門家に見てもらわないと分からないですね。自己判断でホワイトニングをしても効果が薄い、ということもありそうです

おっしゃる通りです。正確な診断に基づいた治療計画が何より重要です。思い込みで諦めたり、不適切なケアを続けたりする前に、ぜひ一度ご相談いただきたいですね
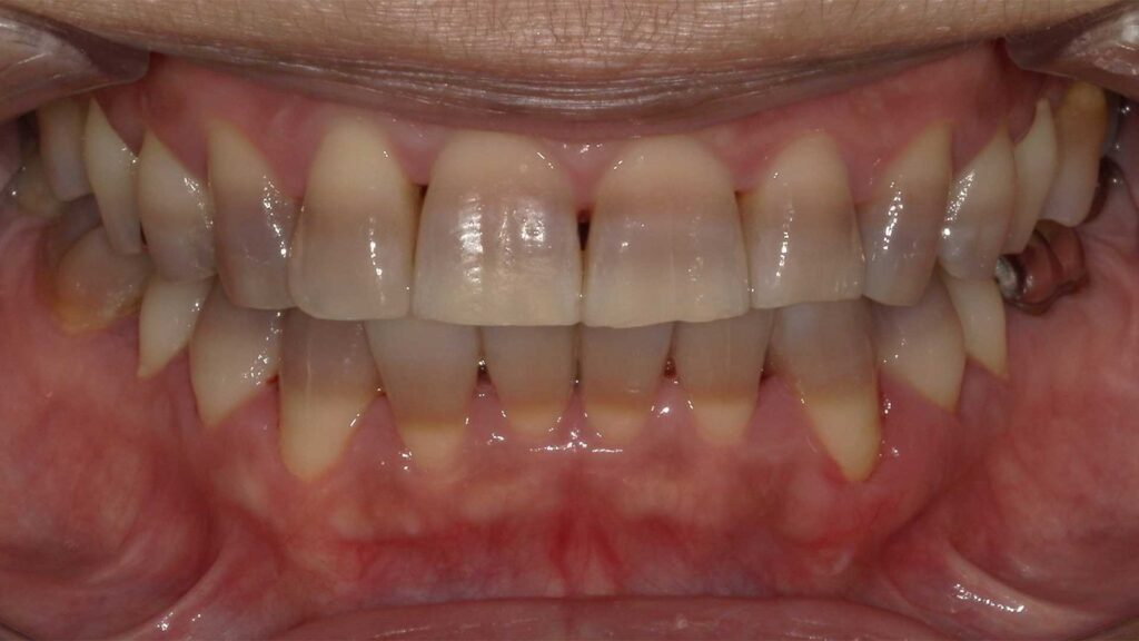
テトラサイクリン歯の変色、実際の症例
テトラサイクリンによる歯の変色の状態をいくつか見てみましょう。
テトラサイクリン歯の変色症例1. 50代女性

- テトラサイクリン系抗生剤による内因性着色歯のため、しま状に濃い着色があります
- 歯の形態の不揃いもあります
テトラサイクリン歯の変色症例2. 50代女性

- 全体にテトラサイクリン系抗生剤による内因性着色があります
- 左右2番目の歯が口蓋側転位していて並びが不揃いです
テトラサイクリン歯の変色症例3. 50代男性

- テトラサイクリン系抗生剤による内因性着色歯のため、全体的に濃いしま状の着色があります
- 着色は歯頸部で茶色を呈し切端部分では黄味が強くなっています
- 左下1番・2番目の歯で叢生、左上2番目の歯がやや唇側転位、右下4番目の歯がやや舌側転位しているため歯列不正があり、開口気味です
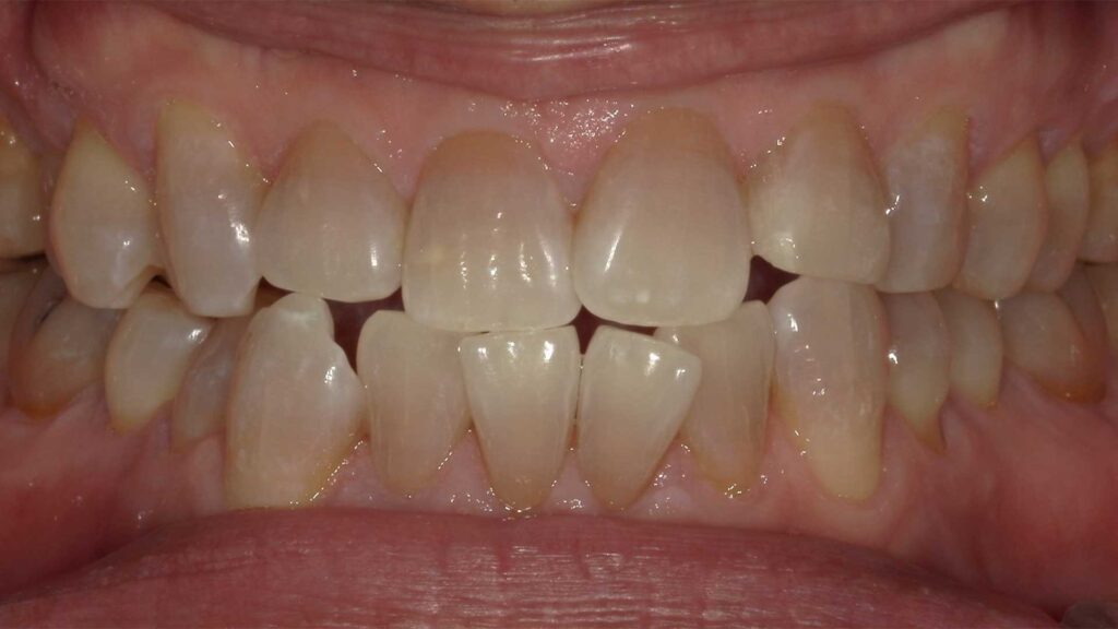
歯の黄ばみを改善する5つの治療法と選び方のポイント
「生まれつきの歯の黄ばみ」、特にその原因がテトラサイクリン歯であると診断された場合、歯科医院では以下のような治療法で改善を目指すことができます。
1. ホワイトニング
薬剤を使って歯自体を白くする方法です。比較的軽度な変色(F1~F2程度)であれば効果が期待できますが、濃い変色には限界があります。
2. マニキュア(歯面コート)
歯の表面に白い樹脂を塗って一時的に白く見せる方法です。手軽ですが、持続期間は短めです。
3. ラミネートベニア
歯の表面を薄く削り、セラミック製の薄いシェルを貼り付ける方法です。色の改善効果は高いですが、健康な歯を削る必要があります。
4. セラミッククラウン(被せ物)
歯全体を削り、セラミック製の被せ物をする方法です。重度の変色にも対応できますが、歯を削る量が最も多くなります。
5. ティーシーズ(削らないラミネートベニア)
当院デンタルサロン・プレジールが独自に開発した「ティーシーズ」は、健康な歯をほとんど削ることなく、オーダーメイドで作製した極薄のセラミックシェルを歯の表面に接着する技術です。歯への負担を最小限に抑えながら、歯の黄ばみや黒ずみ、さらには軽度の歯並びの悩みまで改善することができます。
テトラサイクリン歯の難しい変色にも対応可能です。

治療法がたくさんあって、どれが自分に合うのか迷ってしまいますね。歯を削りたくない、という方は多いのではないでしょうか

そうですね。だからこそ、それぞれのメリット・デメリットをしっかり説明し、患者さんの希望を最優先に考えます。
特に当院のティーシーズは「歯を削らない」という大きなメリットがあり、多くの方に選ばれています
少しでも「ティーシーズ」にご興味がある方、もっと詳しく知りたい方は、デンタルサロン・プレジールまでお気軽にご相談ください。 当院「デンタルサロン・プレジール」の特徴については、以下の記事もぜひご覧ください。
まとめ:諦めないで!原因に合った正しい対処で、笑顔に自信を
「生まれつき歯が黄色い」という長年の悩み。その原因は様々ですが、もし「テトラサイクリン歯」の可能性が考えられるなら、適切な治療法で改善できる道があります。
テトラサイクリン歯は、歯が作られる時期の薬剤の影響であり、歯そのものが不健康なわけではありません。だからこそ、治療の際にむやみに健康な歯を削ることは避けたいものです。
いつまでもご自身の歯で楽しく食事ができ、心から笑えること。それが、私たちが目指す本当の健康です。
- 歯の色がコンプレックスで笑顔が苦手だった
- いつも口元を隠してしまっていた
- 白くなるなんて、もう諦めていた
もしあなたがこれまでにそんな辛い経験をされてきたのなら、まずはその悩みを専門家である私たちに話してみませんか?
この記事が、長年「生まれつきの歯の黄ばみ」で悩まれてきた方々にとって、解決への第一歩となることを心から願っています。
長年の歯の色の悩み、デンタルサロン・プレジールで解決しませんか?
- 私の歯の黄ばみ、本当に生まれつきなのかな……原因は何?
- テトラサイクリン歯かもしれないけど、どんな治療法が合っているの?
- 歯を削らずに、安全に白くすることはできる?
そのお悩み、諦める前にぜひ一度、デンタルサロン・プレジールにご相談ください。自己判断でケアを続けても、原因に合っていなければ効果は期待できませんし、時間だけが過ぎてしまうかもしれません。
当院では、無料カウンセリングを通じて、まずあなたの歯の黄ばみの原因を丁寧に診断します。そして、7,000件以上の審美歯科症例と、特に「削らない治療」や「テトラサイクリン歯の改善」に豊富な経験を持つ歯科医師が、あなたのご希望やお口の状態に合わせた最適な治療法をご提案いたします。
長年のコンプレックスから解放され、自信に満ちた笑顔を取り戻すために。私たちが全力でサポートします。



