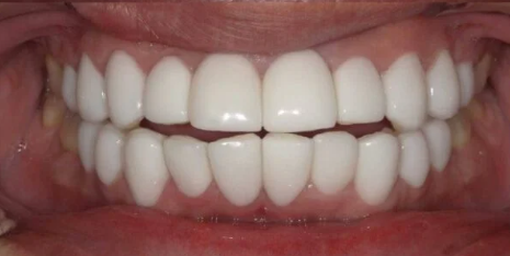
1歯:8.8万円(税込)
その歯のすき間
ティーシーズなら、
2回の来院で改善!
白さ+歯並びも一緒に改善!
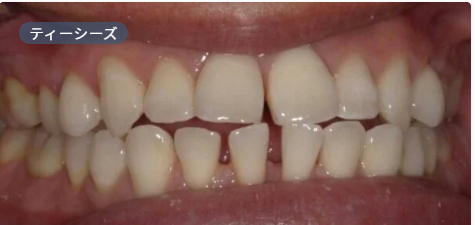
歯のすき間の放置は
さまざまなリスクが・・・
こんな悩みをかかえていませんか?
●前歯のすき間が気になって、口元に自信が持てない
●笑うと歯のすき間に視線が集まる気がする
●矯正までは考えていないが、見た目は整えたい
そんな「歯のすき間」にお悩みの方へ。
当院では、歯を一切削らずにすき間を整えられる審美治療として、ラミネートベニア「ティーシーズ」をご提案しています。
ここでは、歯にすき間ができる主な原因と、どのようなケースでティーシーズが適しているのかを、メリットや注意点とあわせて解説します。
ご自身のお悩みに当てはまるかどうか、ぜひ確認してみてください。
歯にすき間ができる原因
歯のすき間(すきっ歯)は、生まれつきの歯並びだけでなく、成長や生活習慣、加齢など、さまざまな要因が関係しています。
歯のサイズと顎のバランス
歯の大きさに対して顎がやや大きい場合、歯と歯の間にすき間が生じやすくなります。特に前歯は目立ちやすく、見た目の印象に影響しやすい部分です。
歯並びのわずかな乱れ
大きな不正咬合ではなくても、歯がわずかに傾いていたり、位置がずれていたりすると、歯列にすき間が生まれることがあります。
加齢や歯周環境の変化
年齢とともに歯ぐきが下がったり、歯を支える組織が変化したりすると、歯が少しずつ動き、以前はなかったすき間が生じることもあります。
舌癖・口呼吸などの習慣
舌で前歯を押す癖や口呼吸などがあると、長い時間をかけて歯に力がかかり、すき間が広がる原因になることがあります。
ティーシーズで隙間をカバーしながら美しく
「
ティーシーズ」(商標登録済)は、当クリニックオリジナルの“
歯を削らない”ラミネートベニアです。歯の表面に、オーダーメイドの極めて薄い人工歯を貼り付けるので、天然の歯を傷つけずに白い歯を取り戻します。
ティーシーズについては
こちらで詳しくご紹介しております。
隙間ごと歯を覆ってしまうので、歯の隙間はまったく見えなくなります。
事前に確認しておくべきこと
歯を削らず、短期間で白くて美しい歯が手に入るティーシーズですが、施術するにあたって、事前に知っておいていただきたいポイントがあります。
✅ 虫歯がある歯には施術できません
ティーシーズを装着する歯、またはその周囲に虫歯がある場合は、先に治療を完了させる必要があります。治療が終わりましたら、改めてご予約・カウンセリングを受けていただきます。
✅ 歯ぎしり・食いしばりが強い方は夜間用マウスピースを併用
就寝時の歯ぎしりや食いしばりが強いと歯にひびが入ってしまうように、ティーシーズも欠けたり外れたりする可能性があります。そのため、必要に応じてオーダーメイドの夜間用マウスピースの併用をおすすめしています。
✅ 食事は着色しやすいものに注意
コーヒー、ワイン、カレーなどの飲食物は、通常の歯と同様に着色汚れの原因になります。タバコも同じく着色を招きます。施術後の美しい状態を保つには、日々の歯磨きなどのセルフケアに加えて、定期的なクリーニングが欠かせません。
初診「個別」相談へのご案内
当院では、患者さんが抱えていらっしゃるお口のお悩みや疑問・不安などにお応えする機会を設けております。どんなことでも構いませんので、私たちにお話ししていただけたらと思います。
ご興味がある方は下記からお問い合わせください。

- お問い合わせ・ご予約は
- 03-6685-2522
〒104-0061
東京都中央区銀座1-4-6紅雀ビル3階