ティーシーズ

03-6685-2522 WEB予約
キービジュアル
7,500件以上の豊富な症例実績

一切、らない
“貼るだけ
ラミネートべニア

1本7.7万円(税込)/2年保証

来院は2回だけ!

初回診療で無料の歯の試着を実施、
仕上がりのイメージをシミュレーションできます
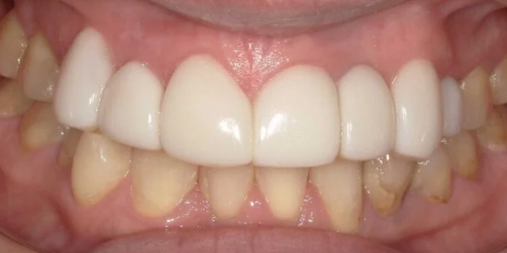
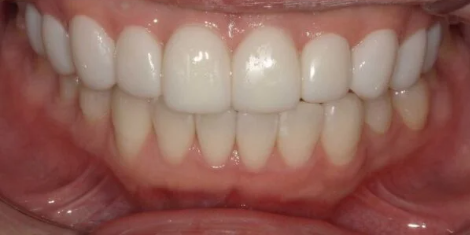
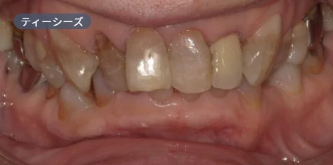
  • 治療前
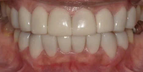
  • 治療後
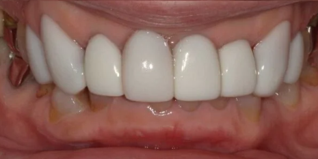
  • 治療前
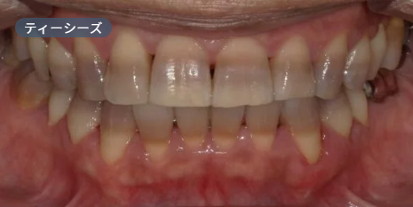
  • 治療後
  • 治療前
  • 治療後
  • 治療前
  • 治療後
  • 治療前
  • 治療後
  • 治療前
  • 治療後

削らないラミネートベニア「ティーシーズ」

ティーシーズ」は、当クリニックが開発した独自の審美技術です。(商標登録済み)
従来のセラミック治療やラミネートベニアと比べて、歯を一切削らない点が最大の特徴といえるでしょう。
20年前、当時としては前例のない「削らない審美治療」として始まり、これまでに7,500件以上の実績を積み重ねてきました。いわば、削らないラミネートベニアのパイオニアです。

今ある歯の上から、オーダーメイドで作製した非常に薄い人工の歯を貼り付けます。施術による痛みもなく、歯の色、形、歯並びを一度に理想的な状態に整えることができる画期的な方法です。

歯を削ることのリスク

ラミネートベニアやセラミッククラウンによる審美治療では、それらを装着するために、歯を削るのが一般的です。
しかし、「歯を削る」ことには次のようなリスクが伴います。

🔶削った歯は2度と戻らない
歯の表面を覆っているエナメル質や、その奥の象牙質は一度削ってしまうと再生することはありません。

🔶歯の健康が損なわれる
歯を削ればもちろん強度が下がります。また、削った部分は虫歯菌が侵入しやすくなってしまいます。

🔶負の連鎖に陥る可能性が高い
削ったことで弱った歯が、割れたり欠けたりしてしまうと、そのリカバリーのためにまた歯を削って、さらに弱くなり……という悪循環に陥る場合があります

🔶食事に問題が出てくる
削る前の歯で噛んでいたときと比べて、歯ごたえや味に違和感があり、食事を楽しめなくなってしまうケースがあります。

削らない「ティーシーズ」のこだわり

当クリニックオリジナルの「ティーシーズ」は、患者さんに満足のいく白い歯を提供し、ずっと笑顔でいられる審美治療を目指して開発されました。一般的なラミネートベニアに比べて、さまざまな特長があります。

極薄だから削らずに装着可能

  • 一般的なラミネートベニア
  • ティーシーズ
通常、ラミネートベニアなどの治療では厚みのある素材を装着するため、その分の“スペース”を確保する目的で歯を削ります。

一方で、ティーシーズは一般的なラミネートベニアに比べて非常に薄く、コンタクトレンズほど(0.5mmほど)の厚みしかありません。そのため、もとの歯の形を変えることなく、そのまま上に重ねて自然な仕上がりにできるのです。

優れた素材と接着技術で外れない

ティーシーズには「ハイブリッドセラミック」と呼ばれる素材が使われています。
セラミックの透明感のある美しさと、レジン(樹脂)のしなやかさという両方の性質を兼ね備えているため、次のような特長があります。

🔵自然な色ツヤでキレイに見える
🔵衝撃に強く、欠けにくい
🔵薄く加工しても耐久性が保たれる

また、当クリニックが確立した極めて高い接着技術でピッタリと装着するため、日常生活において外れたり欠けたりということはまずありません

歯並びも美しく整える

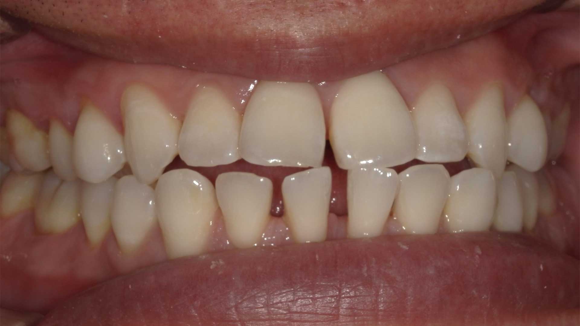
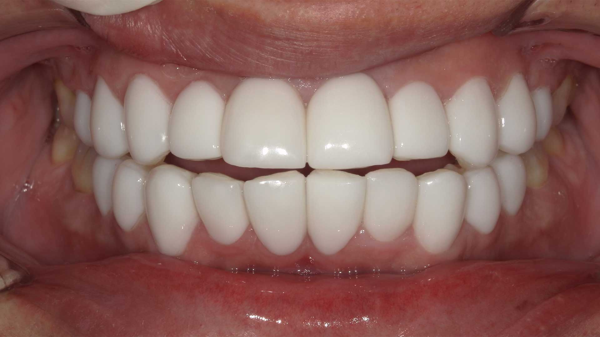
  • 治療前
  • 治療後
すきっ歯・不揃いの改善
ティーシーズを装着することで、歯並びの乱れや隙間も自然に整えることができます。
軽度の歯のガタガタやすき間、形の不揃いなどを、削らずに美しく整えることができるのが大きな特長です。
そのため、矯正治療を行わずに、短期間で見た目の美しい歯並びを手に入れることが可能です。

削らないから痛くない

ティーシーズは歯の表面を削らずに貼るだけの治療法のため、治療中の痛みはほぼなく、もちろん麻酔も不要です。
歯を削る従来の治療に比べて、身体的な負担が少なく、安心して施術を受けられます

削らないから元の状態に戻せる

もし施術を終えた後に、例えば、デザインや色を変えたくなったり、歯の治療やメンテナンスが必要になったりする場合があるかもしれません。そんなときでも、ティーシーズは歯を削らないため、必要に応じてはがして元の歯に戻すことが可能です。

削らずに貼る治療だからこそ、将来的な調整や変更にも柔軟に対応できるのが大きなメリットです。

注目「詰め物のある歯」や「神経を抜いた歯」にも対応します

ティーシーズであれば、「過去に治療した歯」や「神経が死んでいる歯」でも装着できる可能性が高いです

詰め物やクラウンがある歯でも、基本的にはその上から貼ることができます。
ただし、その形状やお口の状態によっては対応が難しい場合もあるため、事前の診査が必要です。
また、神経を抜いて黒ずんだ歯失活歯)の場合も、ティーシーズで白く整えることができます。ただし、元の歯の色が濃い場合は少し厚くするなど調整が必要になることがあります。周囲の歯と調和させるために、複数本に装着するケースもあります。

さらに、一般的なラミネートベニアでは装着が難しいとされる、下顎の歯にも貼ることができます
※歯科医師が噛み合わせを診断いたします

削らずに貼る治療法だからこそ、健康な歯を守りながら、幅広い歯の状態に対応できるのことがティーシーズの強みです。

注目!「歯の試着」で無料シミュレーション

ティーシーズでは、初診時にたっぷりと時間を設けて、カウンセリングを行います。完全個室で担当医師が丁寧に対応しますので、安心してお悩みをご相談ください。治療の無理な勧誘は一切ありません。

また、その後に「歯の試着」をすることができます。
実際に仮歯を貼り付けて見た目噛み心地を確認することで、完成前に歯の色や形、歯並びのバランスを無料でシミュレーションすることが可能です。最終的な仕上がりを具体的にイメージすることができます。

患者さんのご要望を細かくお伺いしますので「仕上がりが思っていたイメージと違うのでは」といった不安がありません。
※初診料の2,200円(税込)がかかります。

専門技工所がオーダーメイドで作製

ティーシーズは、患者さん一人ひとりの口元や歯の形に合わせて作製します。
その精度と品質を確保するため、当クリニックでは、豊富な経験と高い技術を持った歯科技工士が在籍する専門の技工所に製作を依頼しています。

精密な作業により、色や形、歯並びまで細かく調整され、患者さんの歯に違和感なく馴染むように仕上げられます。

わずか2回の来院で歯がキレイに

ティーシーズの治療は、基本的に来院2回で完了します。初回にカウンセリングやシミュレーションを経て、型取りを行い、2回目の来院で完成後の装着を行う流れです。
「通常プラン」では、初診からおよそ1週間~2週間ほどでティーシーズは出来上がります。

🔷「お急ぎプラン」のご提案
遠方からお越しだったり、結婚式までに間に合わせたかったりなど、なるべく早く施術を終えたい方には「お急ぎプラン」がおすすめです。
1歯+11,000円で、出来上がりまでの期間を最短4日に短縮することができます。

具体的な施術の流れは以下のようになります。

1.来院のご予約

当クリニックは完全予約制となっております。
WEB・お電話・メールフォーム・LINEより予約が可能です。歯の美しさでお悩みの際は、お気軽にご連絡ください。

お電話、メールフォームでのご予約はこちら

2.カウンセリング

カウンセリングは完全個室にて行います。安心して今抱えているお悩みについてお聞かせください。担当の歯科医師が直接お伺いいたします。相談は無料です。

3.無料シミュレーション体験

お申し込みの前に仮歯を使った「無料シミュレーション」を体験していただきます。
歯科医師が患者さんの歯に仮のティーシーズのを貼り付けて、その場で仕上がりのイメージを確認することができます。鏡を使って色や形を見ながら、納得のいくまでお試しください。

※初診料の2,200円(税込)がかかります。

4.お申込み/歯型取り/ご精算

シミュレーションを経て、ご決断いただけましたらお申し込みください。

その際にティーシーズの詳しい内容やデザイン、仕上がりについて丁寧に確認します。気になることがあれば遠慮なくご相談ください。
続いて、歯の型取り・写真撮影などの必要資料を作成した後、書面による正式なご契約・お支払いとなります。料金は当日全額のご精算をお願いしております。

ここまでが初回来院日の流れになり、オーダーメイドの製作期間に入ります

5.ティーシーズの装着

ティーシーズが完成しましたら、再びご来院いただきます。
まずは仮装着をして、見た目や装着感を確認してください。それで問題がなければ、いよいよ外れないようにしっかりと装着して、治療は完了です。

6.アフターケア/定期検診

施術が終わった後も、2年間の100%保証がつきますのでご安心ください。万が一、外れたり欠けたりしてしまった場合は無償で対応いたします。
末永く美しさと機能性を保つためにも、4〜6ヶ月に1回の定期検診(1,100円 税込)を受けることをおすすめしています。

イチオシ!ティーシーズを選ぶ「男性」が増えてます!

意外かもしれませんが、当院では男性の患者さんもとても多くいらっしゃいます。

特に営業職など、ビジネスの場面で人前に立つ機会がある方にとって、口元の清潔感は信頼に直結する重要なポイントです。白く、整った歯を実現する「ティーシーズ」であれば、相手に好印象を持ってもらうことができます。
もちろんプライベートでも、歯が美しいと生活を一変させてくれます。

自分の笑顔に自信を持ちたい美容意識の高い男性から、実際に今ティーシーズが選ばれています

こんな男性におすすめ

  • 営業職・接客業の方
  • 婚活やマッチングアプリを利用中の方
  • 美容意識が高く、自分磨きをしたい方
  • 今のホワイトニングに不満がある方
ティーシーズは、あなたのコンプレックス解消や、仕事の成果の後押しにきっと役立ちます。
男性の方でも来院しやすい環境を整えておりますので、お気軽にご相談にいらしてください。

知っておいてもらいたいポイント

歯を削らずに貼るだけで美しい歯を手に入れられるティーシーズですが、長く安心して使っていただくために、いくつか気を付けていただきたいポイントがあります

✅虫歯がある歯には施術できない
ティーシーズを装着する歯、もしくはその周囲に虫歯がある場合には、まず治療を終えてからでないと施術することができません。治療後に改めてご予約とカウンセリングをしていただきます。

✅歯ぎしり・食いしばりが強い方は夜間用マウスピースを着用
就寝時の歯ぎしり食いしばりが強いと、ティーシーズが欠けたり外れたりする原因になります。そういった場合は、夜間用オーダーメイドのマウスピース(厚さ約1.5mm〜)を併用していただくことをご提案しています。

✅食事は着色しやすいものに注意
コーヒーやワイン、カレーなどの食べ物や飲み物は、通常の歯と同じように着色汚れの原因となります。タバコも同様です。美しさをキープするためには、歯磨きなどのセルフケアに加えて、定期的なクリーニングが必要です。

よくある質問 Q&A

「ティーシーズ」とは、どのような治療法ですか?
ティーシーズは、健康な歯を一切削ることなく、歯の上に薄いシェルを貼り付けることで、理想の「色」と「形」を同時に手に入れる、当クリニック独自の審美歯科治療です。ネイルチップのようなイメージに近いかもしれません。この独自の治療法を採用しているため、他の歯科医院では受けられない「歯の試着」を無料で体験していただけます。
ティーシーズの材質は何ですか? なぜ良いのですか?
セラミックと樹脂を掛け合わせた「ハイブリッドセラミック」という、美しさと耐久性を両立した素材を使用しています。オールセラミックのように硬すぎて欠けやすいという弱点を克服し、万が一欠けても、すべてを交換せずにお口の中で簡単に修理できるのが大きなメリットです。
歯を削って被せる治療(ラミネートベニアなど)との違いは何ですか?
最大の違いは、健康な歯を「削るか、削らないか」という点です。歯を削る治療は後戻りできませんが、ティーシーズは歯を傷つけないため、万が一の時も安心です。ただし、歯を大きく引っ込めたり、歯の軸自体を変えたりすることはできません。
治療に痛みはありますか? 麻酔はしますか?
当クリニックのティーシーズは、健康な歯を一切削らずに施術を行うため、麻酔も不要痛みはほとんどありません。リラックスした状態で、快適に施術を受けていただけますのでご安心ください。
本当に、まったく歯を削らないのですか?
はい。ご自身の健康な歯を一切削らないことこそ、当クリニックのティーシーズが他のラミネートベニアと根本的に違う点です。この削らない治療哲学を貫いてきたからこそ、東京・銀座という地で20年間、7,600件以上の症例を手がける審美歯科として信頼を頂いております。

※症例やご希望によっては少し削る処置をする場合もあります。
歯の色で悩んでいます。希望通りの白さになりますか?
はい、可能です。ティーシーズは、歯の色見本の中からご希望の白さをお選びいただけます。ホワイトニングのように後戻りすることなく、その白さをずっと維持できるのが大きな特徴です。専門の技工士が、あなたの肌の色にも調和するよう、微細な色調整も行います。
すきっ歯(正中離開)で悩んでいます。歯を数本だけ治すこともできますか?
はい、1本から治療可能です。しかし、例えば前歯の大きなすき間を2本だけで埋めようとすると、歯の横幅が不自然に大きくなってしまう可能性があります。自然で美しいバランスに仕上げるためには、周りの歯を含めた4本や6本でのデザインをご提案することが多くあります。
過去に治療した差し歯や銀歯の上にも付けられますか?
はい、多くの場合で可能です。「差し歯の色が合わない」「銀歯が笑うと見える」といったお悩みも、上からティーシーズを貼ることで解決できます。ただし、お口の状態によっては難しい場合もございますので、まずは一度ご相談ください。

※銀歯の状態や部位によっては難しいケースもございます。
神経を抜いて黒ずんだ歯があります。1本だけでも治せますか?
可能です。ただし、元の歯の色が濃い場合、それが透けないようにティーシーズに少し厚みを持たせる必要があります。そのため、周りの歯と段差ができないよう、隣接する歯にもティーシーズを装着し、全体を美しく仕上げることをお勧めしています。
どの歯までティーシーズを付けられますか? 下の歯も可能ですか?
はい、下の歯にも装着可能です。一般的に、前から5番目の歯(第二小臼歯)までが適応範囲となりますが、噛み合わせの状態によっては難しい場合もございます。カウンセリング時に歯科医師が正確に診断いたします。
食事などで、欠けたり取れたりしませんか?
非常に高い耐久性を持つセラミック素材を使用するため、日常生活で外れる心配はまずありません。当クリニックでは、銀座で20年間積み重ねてきたティーシーズ専門の技術により、極めて高い接着技術を確立しております。万が一の場合も保証制度がございますので、ご安心ください。

初診「個別」相談へのご案内

当院では、患者さんが抱えていらっしゃるお口のお悩みや疑問・不安などにお応えする機会を設けております。どんなことでも構いませんので、私たちにお話ししていただけたらと思います。
ご興味がある方は下記からお問い合わせください。

医療法人社団幸洋会 デンタルサロン・プレジール

お問い合わせ・ご予約は
03-6685-2522
WEB予約

〒104-0061
東京都中央区銀座1-4-6紅雀ビル3階