※ 写真中央のスライダを左右にドラッグして画像を比較できます
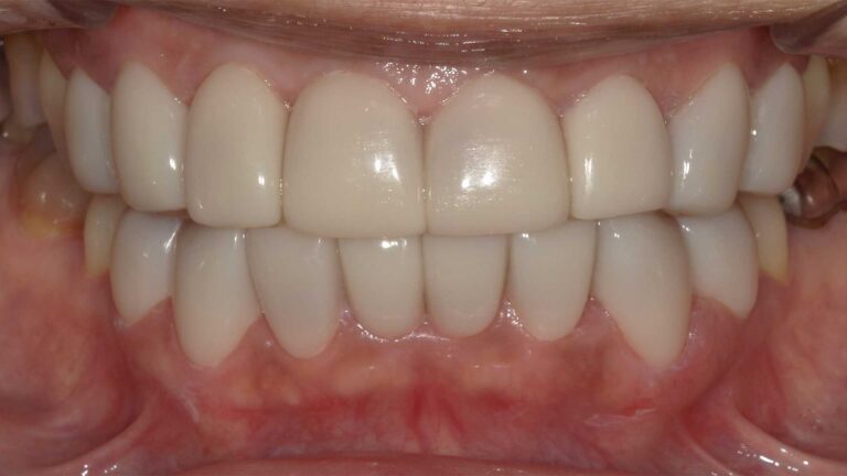
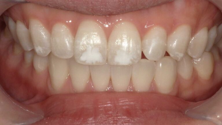
CASE
1

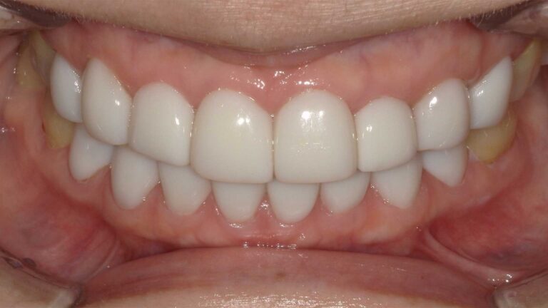
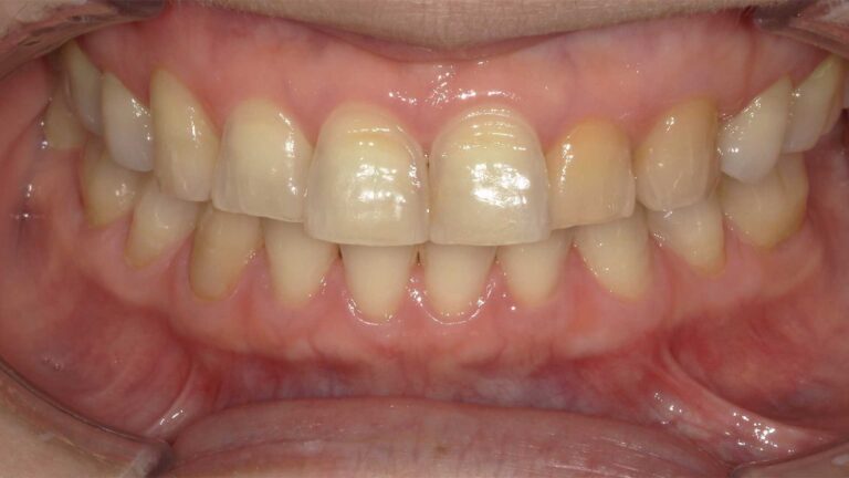
CASE
2

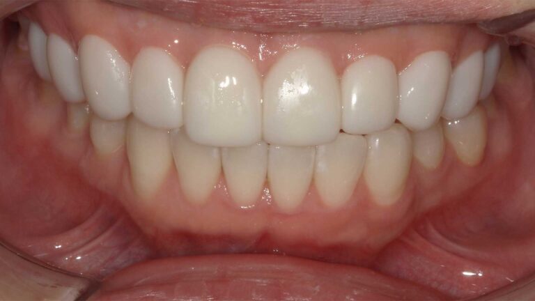
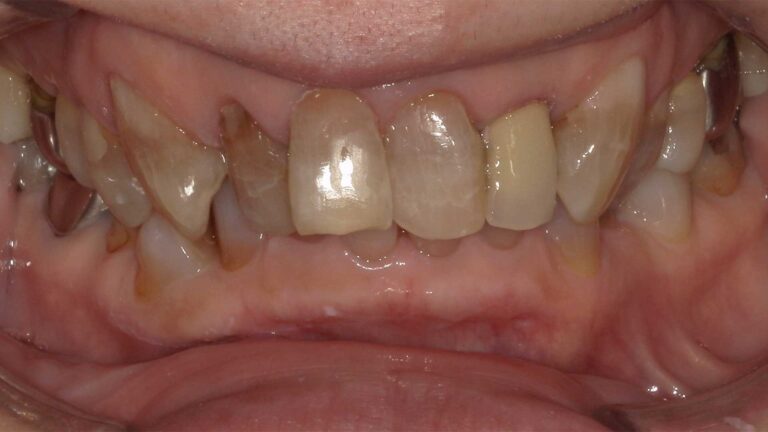
CASE
3

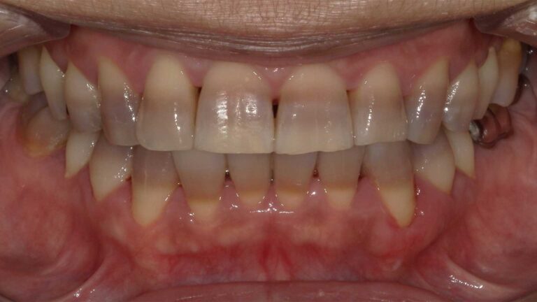
CASE
4

CASE
5

CASE
6




治療中の歯がある、自宅が遠方で何度も通えない、自分の歯にもティーシーズが付けられるか先に
知りたい…など、実際の来院前にご不安なことがございましたら、是非お気軽にお話しください。
ティーシーズは、「削らない」「戻せる」「強い接着力」という点が
従来のラミネートベニアや矯正とは大きく異なります。
| ティーシーズ | ラミネート べニア | 矯正 | |
|---|---|---|---|
| 痛み | なし | 軽い | 強い |
| 効果 | 自然 | 自然 | 効果が高い |
| 歯の処置 | 削らない | 削る | 削る・抜く |
| 費用 | 88,000円 (1本) | 9~15万円 (1本) | 100万円~ |
| 期間 | 2回の来院 | 2回~4回 の来院 | 2年半~ |
| 総合評価 | ◎ | ○ | ○ |

そんな笑顔づくりを
お手伝いしたいと思っています。
歯をまったく削らずに、美しく整える。
自然で上品な口元をめざして、
最適な方法をご提案いたします。
小さなことでも、
どうぞお気軽にご相談ください。

クレジット、デンタルローン、電子マネーに対応。

また、「デンタルローン」は最大84回までの分割にも対応しています。
JACCS(30回払いまで金利手数料当院負担)
01

ティーシーズは、歯をまったく削らない審美治療です。
健康な歯を守りながら、理想の口元を実現できます。
痛みはなく、麻酔も不要です。
02

治療は、カウンセリングと装着の最短2回で完結します。4日で仕上げる短期集中治療にも対応。忙しい方でも、負担をかけずに受けていただけます。
03

削らないからこそ、取り外せば元の歯に戻せるという安心があります。将来、デザインを変えたい場合も柔軟に対応可能です。
04

独自の優れた接着技術により外れる確率はわずか0.006%。従来のラミネートを超える強度で美しさが長く続きます。日常生活の中でも、自然な輝きを保ちます。

どんな些細なことでも、ご不明な点があればお気軽にご相談ください。
はい。ご自身の健康な歯を一切削らないことこそ、当院のティーシーズが他のラミネートベニアと根本的に違う点です。
この削らない治療哲学を貫いてきたからこそ、東京・銀座という地で20年間、7,600件以上の症例を手がける審美歯科として信頼を頂いております。
非常に高い耐久性を持つセラミック素材を使用するため、日常生活で外れる心配はほとんどありません。
当院では、銀座で20年間積み重ねてきたティーシーズ専門の技術により、極めて高い接着技術を確立しております。万が一の場合も保証制度がございますので、ご安心ください。
費用は歯の状態や本数で異なりますが、当院では必ず事前にお見積もりを提示します。
「無料の歯の試着」体験の際に、治療内容と合わせて丁寧にご説明いたしますので、審美歯科が初めての方もご安心ください。無理な勧誘も一切ございません。
はい、可能です。それこそが、歯を削らないラミネートベニア「ティーシーズ」の最大のメリットです。
従来の審美歯科治療とは異なり、ご自身の健康な歯はそのままですので、元の状態に戻すことができます。
この可逆性(元に戻せること)が、当院のティーシーズが選ばれる大きな理由です。






東京・銀座で「削らない審美治療」を求める方に選ばれているデンタルサロン・プレジール。当院のティーシーズは、歯の表面へ貼り付けるだけで、美しく自然な前歯を実現できる審美治療です。痛みがなく、神経への負担もゼロ。来院2回・最短1週間で仕上がるため、20~30代の女性や、美容意識の高い方から高い支持をいただいています。歯を白くしたい、欠けた歯を整えたい、歯の傷を隠したい、元の歯を残したいなど、前歯のお悩みに幅広く対応。また、気軽に楽しめる「付け八重歯」、自然な白さを引き出すホワイトニングなど、希望に合わせた選択肢も充実しています。銀座で自分らしい美しさを手に入れたい方は、プレジールへご相談ください。