削らず、2回の来院で終了
1000症例以上の
失活歯/テトラサイクリン歯の
治療実績があります!
1歯:8.8万円(税込)
「失活歯/テトラサイクリン歯」は
セルフケアでは治りません。
専門クリニックへご相談ください。
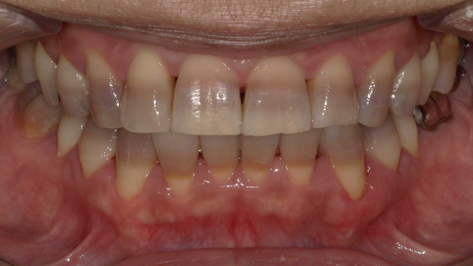
コラム歯の内部の変色~失活歯が原因かも・・・
歯の表面ではなく、内部が茶褐色や黒、灰色に変色することがあります。これは歯の神経が死んでしまったケースや、歯の神経を除去した後、歯の外傷により起きることがある症状です。失活歯と言います。
自然治癒することはなく、また、一般的なホワイトニングでも改善は見込めません。
当院ではこの失活歯も専門的に治療を行っています。1歯8.8万円(税込)で歯を削らずにセラミックを張り付ける方法です。2回の通院で治療は終わります。
「テトラサイクリン」による歯の変色
「テトラサイクリン」とは抗生物質の一種で、タンパク質合成を阻害して細菌の増殖を抑える効果があり、様々な細菌感染症の治療に使わてれいます。
しかし、幼少期のお子さんが服用してしまうと、歯の象牙質や骨に沈着し、変色を引き起こしてしまう副作用があるのです。また、妊婦の方が服用した場合もその子どもに同様の影響が出る危険性があります。
変色してしまった歯は「テトラサイクリン歯」と呼び、薬の種類により黄色や灰色、縞模様などがあります。
テトラサイクリンの成分は、歯の主成分であるカルシウムと強く結合し、紫外線を受けると化学反応を起こしてどんどん色が濃くなります。これが、テトラサイクリン歯の変色していく仕組みです。
かつて風邪薬のシロップやマイコプラズマ肺炎の治療薬として使用されていた時期があり、主に1960~1970年代生まれの方が、永久歯が作られる大切な時期(胎児期〜8歳頃まで)に服用してしまっているかもしれません。
重要自分を責めずに専門クリニックへ
このように「テトラサイクリン歯」は、患者さんご自身の不摂生や努力不足が原因ではありません。どうか一人で抱え込まないでください。
残念ながら、セルフケアで色が戻るということはないので、まずは専門家へ相談しましょう。正しい情報を理解し、ご自身に適した治療方法を選ぶことが、コンプレックスを解消するための大切な第一歩です。
当クリニックでは、テトラサイクリン歯に悩む患者さんのご状況に合わせたアプローチで、歯を白くするお手伝いをさせていただきます。
ホワイトニングによる効果と限界
軽度の「テトラサイクリン歯」であれば、薬剤による
ホワイトニング治療で改善できる可能性があります。
当クリニックで行っているホワイトニングについては
こちらをご覧ください。
しかし、そもそもテトラサイクリン歯は単なる表面上の着色汚れではありません。特にグレーが濃くなっていたり、縞模様ができてしまったような
重度のケースだと、ホワイトニングでは完全に白くすることは難しいです。
ホワイトニング効果を測る「4段階」指標
テトラサイクリン歯の変色の度合いを4段階(F1~F4)に分類した指標があります。これは、歯科医師がホワイトニングの効果を予測するためのもので、世界中で用いられています。
ここで、ご自身の歯がどの段階に該当するのか確認してみてください。
変色の段階 | 色調・特徴 | ホワイトニング効果の期待値 |
|---|
F1 | 淡い黄色、褐色、または灰色。歯全体が一様に薄く着色し、縞模様は見られない。 | ある程度の白さを得られる可能性が高いと考えられます。 |
F2 | F1よりも色が濃い黄色、褐色、または灰色。歯全体が一様に着色し、縞模様は明確ではない。 | ホワイトニングである程度の効果が期待できます。 |
F3 | 濃い灰色や青みがかった灰色。はっきりとした縞模様が見られる。 | 色自体は明るくなりますが、多くの方が期待する「真っ白」な状態にはなりにくいことが多いです。 |
F4 | 着色が非常に強く、縞模様も極めて明白。 | 審美的な満足を得ることは難しい場合が多いです。 |
一般的に、F1〜F2の段階であれば、ホワイトニングにより一定の改善が期待できます。
しかし、F3以上に分類されるテトラサイクリン歯では、ホワイトニングだけで理想的な白さを得ることは難しいのが現状です。
ただし、「まったく効果がない」という意味ではありません。F3やF4の方でも、ホワイトニングによって歯の色味を明るくすることは可能です。
とはいえ、多くの方が思い描くような“自然で輝く白さ”まで到達しづらいため、仕上がりに対して十分な満足感が得られないケースがある点にご留意ください。
変色が強い場合は、当クリニックオリジナルの「ティーシーズ」で改善できる場合があります。
「ティーシーズ」で美しい白い歯を取り戻す
「ティーシーズ」(商標登録済)は、当クリニックが独自に開発した“
削らないラミネートベニア”です。
歯を削らず、表面に極めて薄い人工の歯を貼り付けることで、自然な白さと美しさを取り戻します。
ティーシーズの特徴や詳細については、
こちらのページで詳しくご紹介しています。
“削らない”からこれ以上歯を傷めない
一般的なラミネートベニアやセラミックの被せ物でも、歯を白くするという面では高い効果が見込めます。しかし、これらは少なからず元の歯を「削る」必要性があるのです。削ることで歯がもろくなったり、虫歯のリスクが上がったりと、お口の健康に影響がでてしまう可能性があります。
一度削ってしまった歯は二度と元に戻りません。
一方で、ティーシーズは一般的なラミネートベニアに比べて非常に薄く、0.5mmほどの厚みしかありません。そのため、元の歯を削ることなく、そのまま上に貼り付けることができるのです。
患者さん一人ひとりのご希望に合わせてオーダーメイドで作製し、重度のテトラサイクリン歯の変色にも対応いたします。
歯の健康を守りながら、自然な白い歯を実現して、理想の笑顔を取り戻しましょう。
初診「個別」相談へのご案内
当院では、患者さんが抱えていらっしゃるお口のお悩みや疑問・不安などにお応えする機会を設けております。どんなことでも構いませんので、私たちにお話ししていただけたらと思います。
ご興味がある方は下記からお問い合わせください。

- お問い合わせ・ご予約は
- 03-6685-2522
〒104-0061
東京都中央区銀座1-4-6紅雀ビル3階