皆様、こんにちは!デンタルサロン・プレジールの歯科医師、中村です。
前歯に白いシミや斑点ができていると、「虫歯かな?」と心配になる方も多いのではないでしょうか。しかし、それは 「エナメル質形成不全」 という歯の発育に関わる症状かもしれません。
この症状があると、虫歯になりやすかったり、歯の見た目に影響を与えたりする可能性があります。
本記事では、エナメル質形成不全の 原因・症状・治療法・予防策 について詳しく解説します。
<!–

この記事を書いた人

日本歯科大学新潟生命歯学部卒業。一般開業医での勤務、2020年よりデンタルサロン・プレジール歯科医院長就任。
従来の歯科の考え方にはなかった「健全な歯を削らずに」得られる審美歯科がここにあります。当クリニックを訪れてくださった方に、笑顔に自信を持っていただくことを一番に考え、対応させていただいております。
目次
テレビ番組で当院の施術ティーシーズが取り上げられました
エナメル質形成不全とはどのようなものなのか?
エナメル質は歯の一番外側を覆っている表面の硬い層のことで、その中に象牙質や歯髄といった組織があってエナメル質に守られています。
エナメル質は、人間の体の中で最も硬い組織です。
【エナメル質形成不全とは】
歯の表面を構成するエナメル質が、さまざまな原因で先天的に障害をうけて、綺麗に成長せずに歯にくぼんだ部分があったり、エナメル質の下の象牙質が露出して黄色を呈していたりする状態の事です。
障害が軽い場合には、エナメル質に限局性の白斑や着色があるだけですが、障害が強くなると、エナメル質の表面に環状の凹窩、溝、不規則な欠損を生じエナメル質の大部分が形成されないこともあります。
これらの変化の現れ方は障害を受けた歯の発育時期、障害の種類、強さなどによって異なり、エナメル質の発育の初期であればあるほど、また、障害が強いほどエナメル質の変化が著明に現れるといわれています。
エナメル質形成不全になる原因
エナメル質形成不全になる原因について、解説していきます。
複数の歯に症状がある場合は全身的な要因
エナメル質形成不全は、歯が骨の中で作られるエナメル質の形成時期または発育時期に何らかの全身的障害(例えば、病気、ビタミン不足、栄養障害、ホルモン以上やフッ素等の無機物の影響、さらに遺伝など)で歯の成長が一時的に阻害されることによりエナメル質形成不全が起こります。
エナメル質形成不全が全身的な原因による時は、1本だけではなく複数の歯に症状が出てくることが多いです。
前歯だけといった症状が少ない場合は局所的な要因
乳歯の時に外傷をうけた場合、乳歯の虫歯が大きく長い間化膿状態にあった場合、後に生えてくる永久歯に影響がでてエナメル質形成不全がみられる事があります。
局所的な要因の場合は左右対称にみられることは少なく、前歯だけに症状がみられるといった、1歯から2歯に限られます。
エナメル質形成不全は世界中で起きているのですが、米国ではあまり増加していないそうです。なぜかと言いますと、米国ではビタミンDの摂取に力を入れているからだそうです。
ビタミンDはカルシウムやリンの吸収を促進する、骨や歯の形成に欠かせない栄養素です。
ビタミンDが欠乏する子供だと「くる病」大人だと「骨軟化症」や「骨粗しょう症」などの骨の成長や代謝が阻害されてしまう病気を引き起こします。
エナメル質形成不全も、このビタミンDの摂取不足が原因の1つと言われています。
お母さんのビタミンDが欠乏していることで、その母乳で育つお子さんも欠乏症になってしまう例もあります。
ビタミンDを多く含む食事は魚やキノコに多く含まれています。
また、食べ物からとる以外に皮膚が紫外線に当たる事で体内でも合成されます。効率よく働く質のよいビタミンDを得ることができます。
エナメル質形成不全の治療方法
エナメル質形成不全歯の状態が、エナメル質に限局性の白斑や着色があるだけの軽度のものや、穴やくぼみがなければ、
先ずはブラッシングの励行と定期的なフッ素塗布や歯科検診による虫歯を予防することが大切です。
しかし、エナメル質形成不全歯は見た目が悪く、虫歯になりやすい為、必要に応じて歯冠修復処置(虫歯治療と同じ)が行われます。
重度な症状であればプラスチックの樹脂などで補強や修復を行います。
重度となると穴があいていたりデコボコになっていることがほとんどで、歯科用レジンを用いて詰め物で補強修復をして整形します。
また、見た目や色が気になる場合は、歯を削って表面や全体をセラミックで覆うこともあります。
変色については、ホワイトニングなどで対処もできますが、均一な白さにはできません。
ティーシーズという治療法は、ご自身の歯を削らずに表面に貼るだけで、多数歯に表れていた縞模様やデコボコしたふぞろいな形も最短2回の来院で綺麗に整えることができます。
また万が一虫歯があったとしても、当院で治療をさせていただいてから、型取りを行いますので、ご安心下さい。
是非一度、お悩みのある方はお気軽にご相談下さいませ。お待ちいたしております。
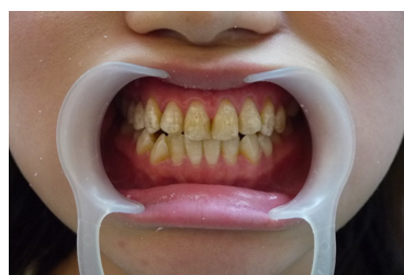
エナメル質形成不全の症例

Before

After
- 年齢・性別
- 20代後半 女性
- 主訴
- 歯の色が気になるとのことで来院されました。
- 診断結果
- エナメル質形成不全と診断しました。
- 治療内容
- ティーシーズ前歯6本装着
- 治療期間
- 2週間
- 費用
- 税込 376,200円
- 治療後の経過
- 定期的な検診、クリーニングにお越し頂いています。
- 治療のリスク
- ・個人差はありますが、施術後2~3週間程度違和感を生じる可能性があります。
・噛み合わせにより、ご自分の歯が露出する部分が生じます。
・歯ぎしりや食いしばりが強い場合には、ナイトガードをお勧めしています。
まとめ
当院ではティーシーズとホワイトニングを提供しています。
ティーシーズの施術期間やメリット、よくある質問は、以下からご確認いただけます。
5分程度で読めるのでぜひご一読ください。
>>ティーシーズのよくある質問、メリット



