治療症例集

03-6685-2522 WEB予約
キービジュアル

タグ:「女性」の記事一覧

治療症例|20代・女性・ホワイトニング剤による歯の白斑

治療症例|20代・女性・ホワイトニング剤による歯の白…

Before / After Before After 患者様情報 患者様情報 20代 女性 症状名 歯の白斑 症状概要 左右1番目の歯にCRが入っていて、歯の色と一致していません 左右2・3・4番目の歯にホワイトニング剤により著しい白斑が生じており、審美的不調和が生じている状態です 施術名 ティー…

2025.4.21

治療症例|40代・女性・歯の黄ばみ・歯列不正

治療症例|40代・女性・歯の黄ばみ・歯列不正

Before / After Before After 患者様情報 患者様情報 40代 女性 症状名 歯の色 歯列不正 症状概要 全体に歯の色の黄味が強いです。右上2番目と左上4番目の歯が口蓋側転位しています。右上1番目と左上2番目に歯に捻転があります。 施術名 ティーシーズ 施術説明 上顎7本装着…

2025.4.12

治療症例|50代・女性・テトラサイクリン歯・歯の色・歯列不正

治療症例|50代・女性・テトラサイクリン歯・歯の色・…

Before / After Before After 患者様情報 患者様情報 50代 女性 症状名 テトラサイクリン歯 歯の色 歯列不正 症状概要 テトラサイクリン系抗生剤による内因性着色が全体に見られます 左上2番目のクラウンの色が他の歯と合っていません 右上2番目の歯が口蓋側転位しています 施…

2025.4.12

治療症例|50代・女性・テトラサイクリン歯・歯の色・口蓋側転位

治療症例|50代・女性・テトラサイクリン歯・歯の色・…

Before / After Before After 患者様情報 患者様情報 50代 女性 症状名 テトラサイクリン歯 歯の色 歯列不正 症状概要 全体にテトラサイクリン系抗生剤による内因性着色があります。左右2番目の歯が口蓋側転位していて並びが不揃いです。 施術名 ティーシーズ 施術説明 上顎1…

2025.4.12

治療症例|40代・女性・歯の黄ばみ・ジルコニアクラウンと歯の形の不揃い

治療症例|40代・女性・歯の黄ばみ・ジルコニアクラウ…

Before / After Before After 患者様情報 患者様情報 40代 女性 症状名 歯の色 歯の形の不揃い 症状概要 左右1番目の歯にジルコニアクラウンが入っていますが黄味が強いです。左右2番目、3番目の歯の形態に不揃いがあります。 施術名 ティーシーズ 施術説明 上顎8本装着 歯…

2025.4.12

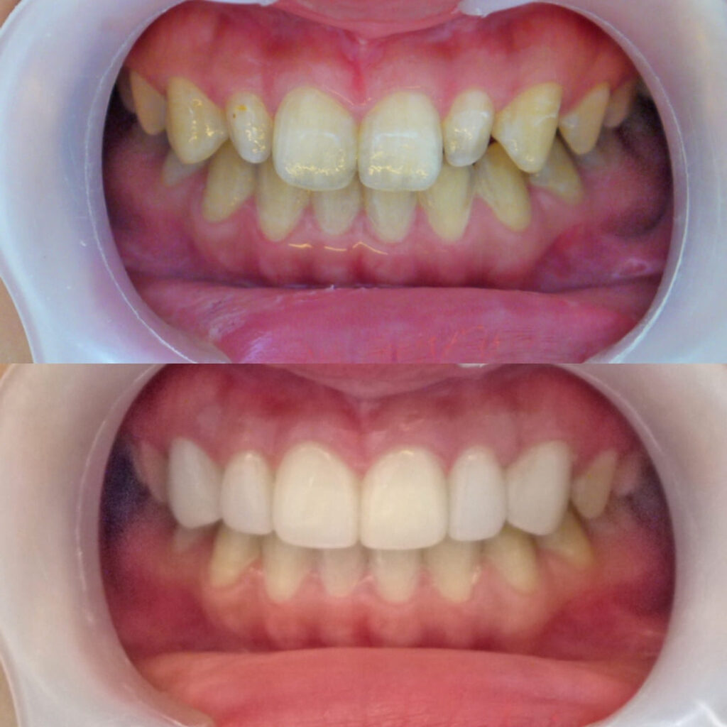
治療症例|20代・女性・ホワイトニング剤による歯の白斑

治療症例|20代・女性・ホワイトニング剤による歯の白…

Before / After Before After 患者様情報 患者様情報 20代 女性 症状名 歯の白斑 症状概要 ホワイトニングによる歯の白斑が左右1番目の歯で目立ちます。 施術名 ティーシーズ 施術説明 上顎10本装着 歯を全く削らずに型取りし2週間後にティーシーズを装着 副作用・リスク …

2025.4.12

治療症例|50代・女性・テトラサイクリン歯・歯の黄ばみ・矯正治療後の後戻り

治療症例|50代・女性・テトラサイクリン歯・歯の黄ば…

Before / After Before After 患者様情報 患者様情報 50代 女性 症状名 テトラサイクリン歯 歯の黄ばみ 矯正治療後の後戻り 症状概要 全体に歯の色の黄味が強いです。1番目の歯と2番目の歯に矯正治療後の後戻りによる段差があります。 施術名 ティーシーズ 施術説明 上顎8本…

2025.4.12

治療症例|50代・女性・テトラサイクリンによる着色・歯の不揃い

治療症例|50代・女性・テトラサイクリンによる着色・…

Before / After Before After 患者様情報 患者様情報 50代 女性 症状名 テトラサイクリン歯 歯の色 症状概要 テトラサイクリン系抗生剤による内因性着色歯のため、しま状に濃い着色があります。歯の形態の不揃いもあります。 施術名 ティーシーズ 施術説明 上顎8本 下顎8本装…

2025.4.12

治療症例|20代・女性・矮小歯によるすきっ歯(離間)

治療症例|20代・女性・矮小歯によるすきっ歯(離間)

Before / After Before After 患者様情報 患者様情報 20代 女性 症状名 すきっ歯 矮小歯 症状概要 両側2番目の歯が他の歯に比べて極端に小さい歯のためすき間があいています。 施術名 ティーシーズ 施術説明 ティーシーズ上6本装着 副作用・リスク 極端に強い力が加わると欠…

2023.11.28

治療症例|30代・女性・先天性欠損によるすきっ歯(離間)・歯の不揃い

治療症例|30代・女性・先天性欠損によるすきっ歯(離…

Before / After Bafore After 患者様情報 患者様情報 30代 女性 症状名 すきっ歯 歯並び 症状概要 先天性欠損によるすき間です 元々2番目がないため、3番目の歯が3番目の位置にあるため歯の形態の不揃いがあります 施術名 ティーシーズ 施術説明 ティーシーズ上6本 副作用…

2023.5.18

初診「個別」相談へのご案内

当院では、患者さんが抱えていらっしゃるお口のお悩みや疑問・不安などにお応えする機会を設けております。どんなことでも構いませんので、私たちにお話ししていただけたらと思います。
ご興味がある方は下記からお問い合わせください。

医療法人社団幸洋会 デンタルサロン・プレジール

お問い合わせ・ご予約は
03-6685-2522
WEB予約

〒104-0061
東京都中央区銀座1-4-6紅雀ビル3階