治療症例集

03-6685-2522 WEB予約
キービジュアル

タグ:「男性」の記事一覧

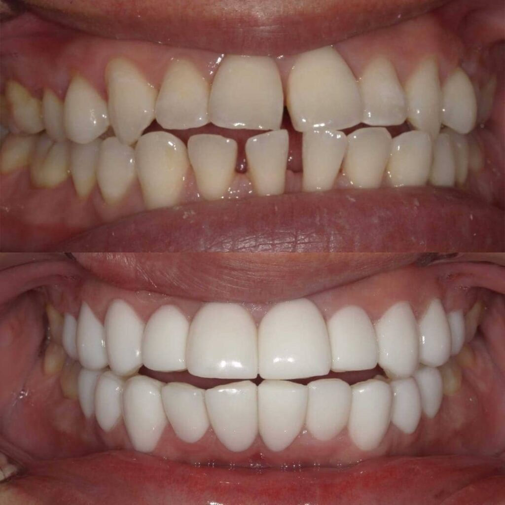
治療症例|50代・男性・テトラサイクリン歯・歯の色

治療症例|50代・男性・テトラサイクリン歯・歯の色

Before / After Before After 患者様情報 患者様情報 50代 男性 患者様情報 テトラサイクリン歯 歯の色 症状概要 テトラサイクリン系抗生剤による内因性着色歯のため、全体的に濃いしま状の着色があります 着色は歯頸部で茶色を呈し切端部分では黄味が強くなっています。 左下1番…

2025.4.21

治療症例|20代・男性・歯の黄ばみ・ホワイトニングの限界

治療症例|20代・男性・歯の黄ばみ・ホワイトニングの…

Before / After Before After 患者様情報 患者様情報 20代 男性 症状名 歯の色 症状概要 ホワイトニングをされていましたがこれ以上白くならなりませんでした。またホワイトニングによる白斑があります。 施術名 ティーシーズ 施術説明 上顎10本 下顎10本装着 歯を全く削ら…

2025.4.12

治療症例|20代・男性・すきっ歯(正中離開)・歯の不揃い

治療症例|20代・男性・すきっ歯(正中離開)・歯の不…

Before / After Before After 患者様情報 患者様情報 20代 男性 症状名 正中離開 症状概要 正中離開と歯の形態の不揃いがあります。 施術名 ティーシーズ 施術説明 上顎8本装着 歯を全く削らずに型取りし2週間後にティーシーズを装着 副作用・リスク 極端に強い力が加わると…

2025.4.12

治療症例|30代・男性・上下のすきっ歯(離開)

治療症例|30代・男性・上下のすきっ歯(離開)

Before / After Before After 患者様情報 患者様情報 30代 男性 症状名 歯の離開(上下) 症状概要 上下とも歯が離開しています。特に下顎で大きく離開しています。 施術名 ティーシーズ 施術説明 上顎10本 下顎10本装着 歯を全く削らずに型取りし2週間後にティーシーズを…

2025.4.12

初診「個別」相談へのご案内

当院では、患者さんが抱えていらっしゃるお口のお悩みや疑問・不安などにお応えする機会を設けております。どんなことでも構いませんので、私たちにお話ししていただけたらと思います。
ご興味がある方は下記からお問い合わせください。

医療法人社団幸洋会 デンタルサロン・プレジール

お問い合わせ・ご予約は
03-6685-2522
WEB予約

〒104-0061
東京都中央区銀座1-4-6紅雀ビル3階